Case Studies

Please find below selected case studies from EURAMET's European Metrology Research Programmes (EMRP and EMPIR) that are related to Radiation Protection:

Support for Balkan mammography services

In Europe 1 in 8 women develop breast cancer before the age of 85, and early diagnosis increases survival chances. National x-ray screening programmes are being introduced throughout the EU, underpinned by a measurement traceability hierarchy to ensure the quality of the services provided. This includes checking that EU safety guidelines have been ...

read more

Nuclear incident alerts

Following a major nuclear incident, fast decisions are needed on issues from protecting the public to prevention of contaminated food entering the supply chain. Different radioactive isotopes, or radionuclides, present different risks. For example, radioactive iodine can accumulate in the thyroid gland, whilst caesium on grass consumed by dairy cow...

read more

Targeting tumours accurately

Treating cancerous tumours with radiotherapy requires precisely targeted treatments to be delivered directly to the cancerous cells without harming surrounding healthy tissue. For example with facilities like gamma knife, up to 200 low power beams, which individually do little harm can be focused to a single area of just a few millimetres on the ca...

read more

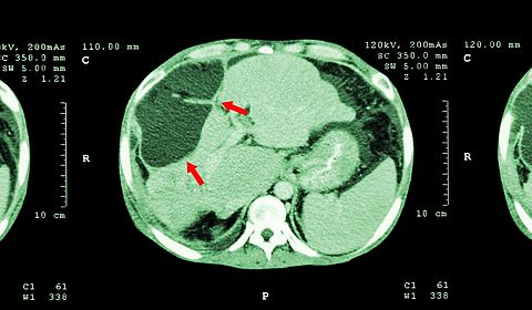
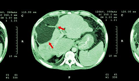
Hitting the target for cancer

For many years molecular radiotherapy (MRT) has been used for palliative care of cancer patients, but it has great potential to become a potent first line cancer treatment. The therapy uses radioactive drugs to target specific tumour locations, for example by injection of radioactive microspheres into tumours in the liver via its artery. Currently...

read more

Traceability Boosts Cancer Therapy

For many years molecular radiotherapy, MRT, has been used for palliative cancer care, but it has great potential to become a potent first line cancer treatment. The therapy uses radioactive drugs to target specific tumours, for example radioactive yittrium-90 microspheres are used to treat liver cancers. However, accurate activity measurements of ...

read more

Accurate dose means effective therapy

Molecular radiotherapy (MRT) is often used when other cancer therapies have failed, but it has real potential to be a very effective first line cancer treatment. This therapy directly targets organs with tumours whilst leaving surrounding healthy body tissue unharmed. The treatment uses a range of radioactive drugs to target specific tumours such a...

read more

Improving radiotherapy success

Radiotherapy has been a mainstay of cancer treatment for over a century. It most commonly involves using a linear accelerator (linac) to deliver high-energy beams of X-ray radiation to patients, killing cancerous cells by damaging their DNA. Prior to treatment, patients are imaged in a CT scanner (using X-rays) to identify the target site. However,...

read more