
Accurate dose means effective therapy
Challenge
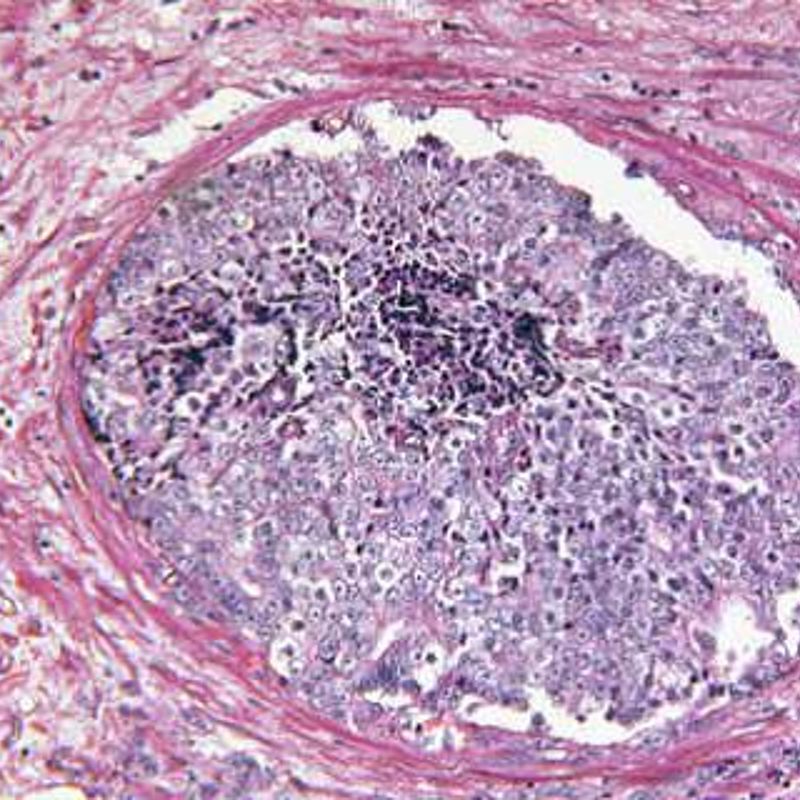
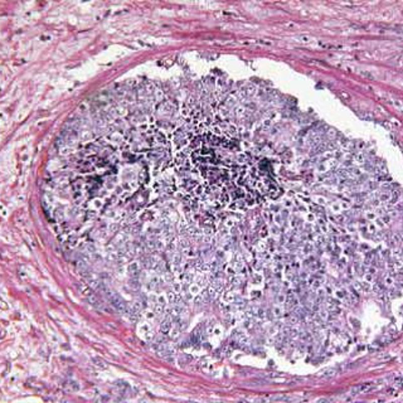
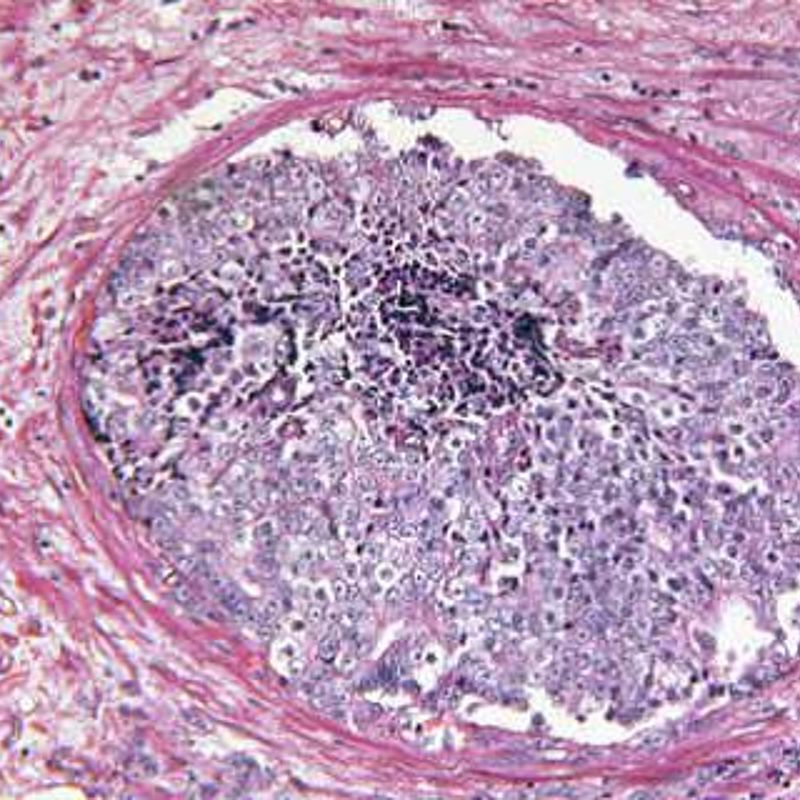
Molecular radiotherapy (MRT) is often used when other cancer therapies have failed, but it has real potential to be a very effective first line cancer treatment. This therapy directly targets organs with tumours whilst leaving surrounding healthy body tissue unharmed. The treatment uses a range of radioactive drugs to target specific tumours such as radioactive iodine-131 for thyroid cancer or the direct injection of radioactive microspheres into liver tumours. The key for wider use of MRT is accurate measurement of the actual radioactive dose delivered to the tumour.
However, there are no standardised methodologies that accurately relate the radioactivity of the drug administered to the patient to the actual dose delivered. The current approach, called “as high as safely administered” is based on generic responses of patients during clinical trials. It ensures patient safety, but does not necessarily deliver the optimum dose to the individual patient’s cancer so the benefits of the treatment are variable. A new EU Directive coming into force in February 2018 will require dose planning for individual patients to be based on dose taken up by the body at the cancer site.
Solution
The EMRP project Metrology for molecular radiotherapy has developed new dose measurement methods for MRT based on accurate monitoring of radioactivity at the tumour site. These use body phantoms (models) and a variety of advanced medical imaging techniques, such as Single-Photon Emission Computed Tomography (SPECT) and Positron Emission Tomography (PET) to measure radioactivity in specific targeted organs.
Together these advances have enabled the formulation of improved protocols to relate measured administered radioactivity to the actual doses delivered to a patient’s tumour and to normal tissues. This helps ensure maximum therapy efficacy, whilst demonstrating high levels of patient safety.
Impact
Nuclear medicine clinicians and researchers require high quality guidance and reference documents to assist them in providing the very best care to patients undergoing radiotherapy. One organisation that provides independent and highly respected publications in this field is the International Atomic Energy Agency (IAEA). Currently the IAEA is drafting a new Health Series publication on Dosimetry for Radiopharmaceutical Therapy. The publication will include methods developed in the project to accurately measure the doses received by individual patients from MRT.
Nuclear medicine clinicians will be able to easily access the project’s methods via this single IAEA publication aimed at improving the delivery of better patient treatments and therapy for cancers. Using these methods clinicians will take a major step towards implementing the new EU directive through the delivery of personalised treatment planning, reduce treatment costs and potentially increase success rates for treating cancer.
- Category
- Health,
- EMRP,
